Miami Reconstructive Dentistry — Full Mouth Reconstruction and More
The beauty, health, and function of a smile can be adversely affected by a number of factors, including extensive tooth decay, periodontal disease, oral cancer, and injury. For some patients, these problems are best treated through multiple restorative and cosmetic dentistry procedures. Patients who have undergone oral cancer treatment or suffered a serious injury may require reconstructive dentistry to restore function to the mouth. At Gables Perfect Smile near Miami, we provide reconstructive dentistry, including full mouth reconstruction, to create gorgeous, comfortable smiles.
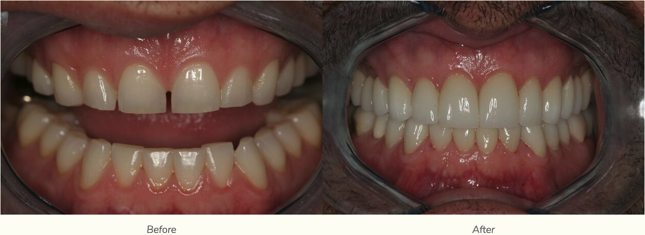
Full Mouth Reconstruction
Although similar to a smile makeover, full mouth reconstruction is much more extensive and is performed not only to restore the aesthetic appearance of the smile, but also to reconstruct the teeth for functional and medical reasons. For patients who suffer from bite and TMJ-related problems, a full mouth reconstruction is often necessary to bring the teeth and jaw into proper alignment. It is also often performed for patients after cancer treatment or a serious injury to the mouth.
At our Miami-area practice, full mouth reconstruction, is a comprehensive reconstructive dentistry procedure that starts with a thorough examination. We will determine which options will best restore the health and function of your smile. During a full mouth reconstruction, we may combine several cosmetic dentistry and restorative dentistry procedures to achieve the desired results. A full mouth reconstruction that is performed to fix bite misalignments may include the placement of multiple dental crowns, dental implants, or dental bridges. It may also address previous dental work that is problematic.

View our Full Mouth Reconstruction Gallery
Reconstruction after Cancer
For some people who have undergone treatment for oral cancer, dental reconstruction is needed to rebuild the tissues and bones of the mouth. Reconstruction after cancer may involve the placement of dental implants, dentures, or other tooth replacement options, and it may involve tissue grafts taken from other parts of the body. We are highly experienced in working with patients to create a reconstructive dentistry plan that will restore function and aesthetics to the smile.
Contact Gables Perfect Smile to Schedule an Appointment
If you are a patient who requires multiple dental procedures, your best option may be a full mouth reconstruction. Dr. Gloria Ospina and her team can help determine which reconstructive dentistry procedures can best fit your needs. Contact our Miami-area practice to learn more about reconstructive dentistry, including full mouth reconstruction, and to schedule an appointment today.